COVID-19: il microscopio elettronico apre nuovi interrogativi sulla fisiopatologia della malattia

Il microscopio elettronico a trasmissione (TEM) ha permesso di valutare i danni gravi provocati dal virus Sars-CoV-2 nei polmoni, con dettagli visibili solo con tale strumentazione e con nessun altro dispositivo microscopico. Il TEM è in grado di visualizzare la struttura fine all’interno delle singole cellule, chiamata ultrastruttura, e ha permesso di capire meglio le gravi complicanze dovute a Covid19.

Microscopio Elettronico a trasmissione (TEM)
Microscopio Elettronico a trasmissione (TEM)
in uso al Dipartimento di Medicina Sperimentale (DIMES) dell'Università di Genova
Laboratorio di Imaging e Microscopia Elettronica Cellulare

I risultati dello studio sulla ultrastruttura delle lesioni polmonari sono stati pubblicati sulla prestigiosa rivista di patologia Virchows Archiv. La ricerca è stata svolta dal team del Laboratorio di Imaging e Microscopia elettronica cellulare dell’Università di Genova (Prof.ssa Katia Cortese e collaboratori), situato presso il Dipartimento di Medicina Sperimentale – DIMES, in collaborazione con il Laboratorio nazionale di Microscopia elettronica avanzata per lo studio dei patogeni infettivi dell’Istituto Robert Koch di Berlino diretto dal Dott. Michael Laue, con il prezioso contributo delle equipe di Pneumologia Interventistica (Dott.ssa Emanuela Barisione e collaboratori), Terapia Intensiva (Prof. Paolo Pelosi e collaboratori) e Anatomia Patologica (Prof. Roberto Fiocca e collaboratori) del Policlinico Universitario San Martino di Genova.

La chiave della realizzazione dello studio è l’acquisizione del nuovo TEM, che ha rinnovato la strumentazione già in essere del Laboratorio, grazie al contributo di UniGe e della Scuola di Scienze Mediche e Farmaceutiche (Bando 2018 – Grande Strumentazione).

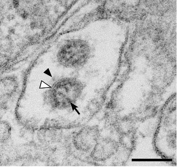
Virus SARS-COV-2
Virus SARS-COV-2 fotografato in paziente COVID all’interno di compartimenti intracellulari membranosi.
La freccia nera indica le ribonucleoproteine, la testa di freccia nera indica una Spike, la testa di freccia bianca indica l’envelope del virus.
Barra di misura: 100 nm.

Quali sono i risultati emersi dallo studio?

Dal punto di vista del metodo di indagine, l’approccio utilizzato dai due team di esperti microscopisti è stato di tipo sistematico, mediante sezionamento multilivello dell’organo, fino a ottenere mappe ultrastrutturali in larga scala e ad alta risoluzione che possono essere manipolate e ingrandite fino a scala sub-cellulare. Il dettaglio raggiunto è stato reso possibile anche dalla tecnica innovativa utilizzata per il prelievo dell’organo. Questa tecnica è chiamata criobiopsia ed è stata eseguita dal team specialistico di pneumologia, terapia intensiva ed anatomia patologica del Policlinico San Martino di Genova sui primi pazienti COVID-19 nel marzo 2020, durante il primo lockdown. I pazienti erano ancora ventilati al momento del prelievo, permettendo quindi di ottenere reperti di altissima qualità morfologica e senza artefatti.

Dal punto di vista fisiopatologico, è ormai noto che i pazienti molto gravi che soccombono alla malattia sviluppano disfunzioni gravi a molti organi e questo fenomeno sembra essere fortemente correlato a una risposta immunitaria alterata scatenata dall’infezione. L’aumento incontrollato di particolari cellule del sistema immunitario (monociti e linfociti T killer) potrebbe quindi essere la causa dell’eccessiva risposta infiammatoria a livello polmonare. Ovvero quella “tempesta citochinica” che, anziché proteggere dal virus, attacca tutti gli organi del paziente.  

La precisa analisi effettuata al microscopio elettronico ha permesso di cercare e fotografare sia il virus che le lesioni polmonari presenti nei pazienti più gravi. Queste comprendono il danno alveolare diffuso, la proliferazione di un particolare tipo di cellula presente solo nell’alveolo polmonare chiamata pneumocito di tipo 2, la marcata presenza di fibrosi e di anomalie sub-cellulari, visibili soltanto con l’utilizzo del TEM, nelle cellule dei capillari sanguigni e degli pneumociti tipo 2. In particolare, le cellule menzionate presentano marcata vacuolizzazione, mitocondri e reticolo endoplasmatico drammaticamente alterati. Infine è stata rilevata la presenza di infiltrazione di numerose cellule del sistema immunitario.

Nonostante le indagini molecolari avessero rilevato un alto carico di RNA virale nei polmoni di questi pazienti, sorprendentemente la presenza del virus integro SARS-COV-2, visibile per le sue piccole dimensioni (circa 100 nm) con il microscopio elettronico, è stata identificata solo in pochissime cellule. Questo risultato avvalora l’ipotesi che la reazione sviluppata dei pazienti più gravi sia dovuta alla risposta immunitaria alterata del nostro organismo, con danni che si riverberano anche ad altri organi.

di Eliana Ruffoni